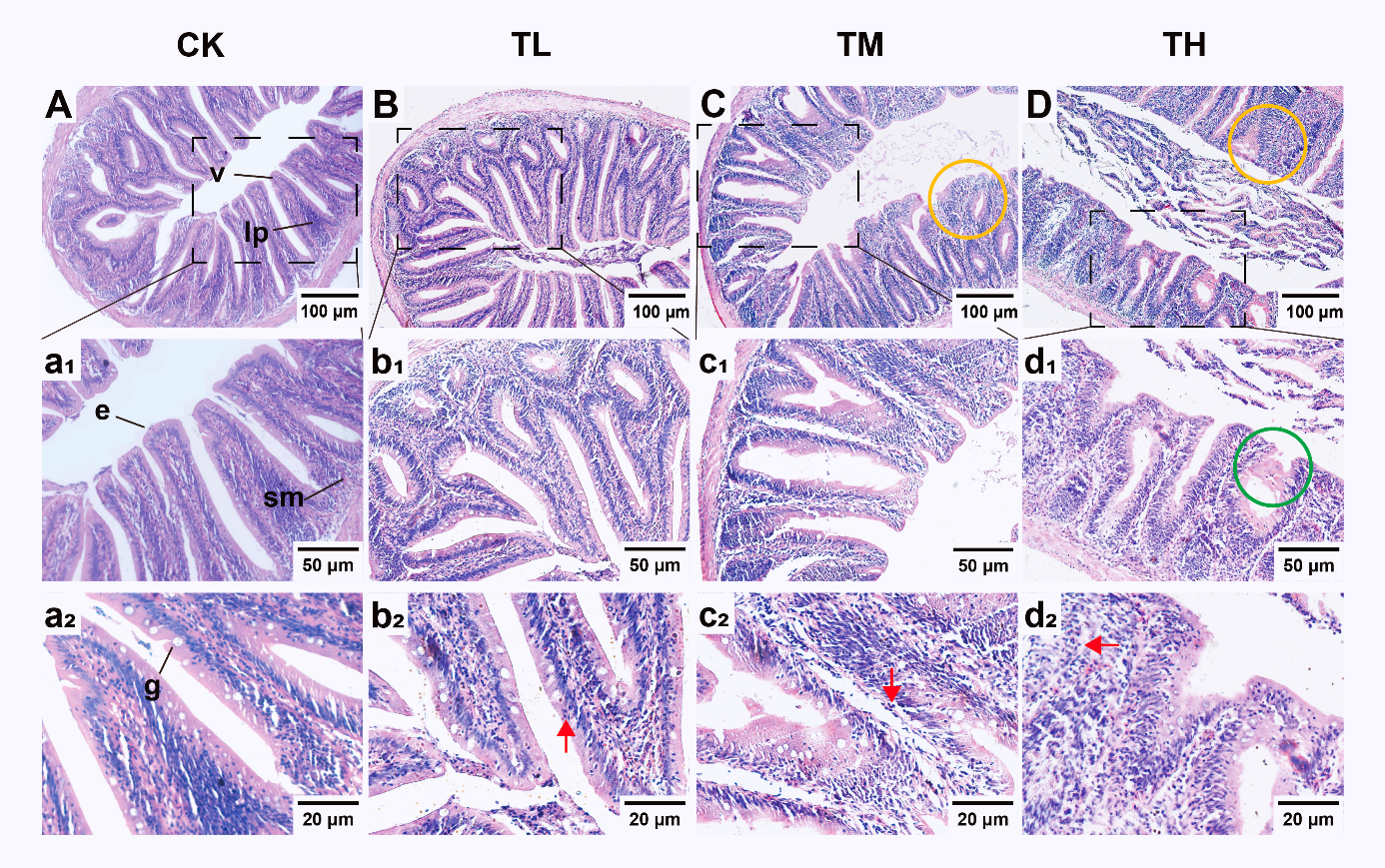
随着全球气候变暖,极端高温天气频发,对水产养殖业构成了严重威胁。鱼类作为变温动物,缺乏主动调节体温的能力,极易受到环境温度变化的影响。禾花鲤(Cyprinus carpio var.)是广西特色优势养殖鱼类,因肉质鲜美、营养丰富而深受市场青睐。然而,关于禾花鲤在升温环境下的生理和分子响应机制仍缺乏深入研究。研究通过对禾花鲤进行不同温度梯度(26℃—32℃)处理,发现其能够适应30℃以内的温度变化,较好的维持机体稳态;但当水温超过30℃时,禾花鲤出现了明显的肠道和肝脏组织损伤,抗氧化能力下降,免疫功能受到抑制。进一步研究发现,热休克蛋白(HSPs)和PPAR信号通路在鱼体应对高温胁迫中发挥了关键作用。该研究首次系统揭示了禾花鲤在高温胁迫下的生理和分子应答机制,成果不仅有助于指导养殖温度管理,还为筛选耐热品种和优化养殖模式提供了潜在靶点,为提升气候变化背景下水产养殖业的可持续发展提供了重要参考。

图1 不同温度对禾花鲤肠道结构的影响
2025年8月22日,相关研究结果以题为“Response of rice flower carp (Cyprinus carpio var.) to high-temperature stress: Mechanisms and limits of tolerance”在国际经典热生物学专刊《Journal of Thermal Biology》(中科院 二区)上发表。论文第一单位为广西师范大学珍稀濒危动植物生态与环境保护教育部重点实验,硕士研究生程春醒为第一作者,硕士研究生韦金友、李林利等为参与作者,蒋骄云副教授为通讯作者。

本研究获得广西师范大学珍稀濒危动植物生态与环境保护教育部重点实验室、广西珍稀濒危动物生态学重点实验室的支持。全文链接:https://doi.org/10.1016/j.jtherbio.2025.104244.
桂公网安备45030502000260号)